作者
osiris4869
發布日期
2026 Jan 2
為了在婚紗攝影與婚禮當天展現美麗笑容,Ms. Lee 選擇在人生最重要的階段前進行改變。透過數位微笑設計 (DSD) 與水雷射微創,我們解決了舊填補物變色與牙齦高度問題,讓笑容重回和諧比例。

改變緣起:當笑容成為理想婚禮的阻礙
對於即將步入禮堂的準新娘而言,高畫質的婚攝鏡頭是最大的考驗。Ms. Lee 的牙齒雖然大致健康,但在特寫鏡頭下,大範圍的樹脂填補變色顯得黯淡不均;明顯的牙縫與受損的切端,讓她在展露笑容時總帶有一絲猶豫。此外,牙齒大小比例的不協調,也影響了整體視覺的精緻度。
她渴望的,不只是「整齊」,而是能經得起近距離檢視的「質感」。

一日美齒:兼顧健康與美麗的美容牙科
黃琮勛醫師團隊經過詳細評估,制定了涵蓋「牙齒」與「牙齦」的綜合治療計畫,不只打造客製化的笑容,同時兼顧健康。
- 水雷射牙齦微整: 笑容的和諧不僅在於牙齒。我們利用微創水雷射技術,精準調整牙齦高度與輪廓,解決牙齦線不對稱的問題,為完美的笑容打好地基。
- 全瓷修復工藝:移除變色且邊緣滲漏的舊樹脂填補物,改以高強度、高透感的全瓷貼片與全瓷冠修復。
- 比例重塑: 關閉開掉的牙縫,並修復受損切端,依照 DSD 數位設計的黃金比例,重建牙齒的大小比例。

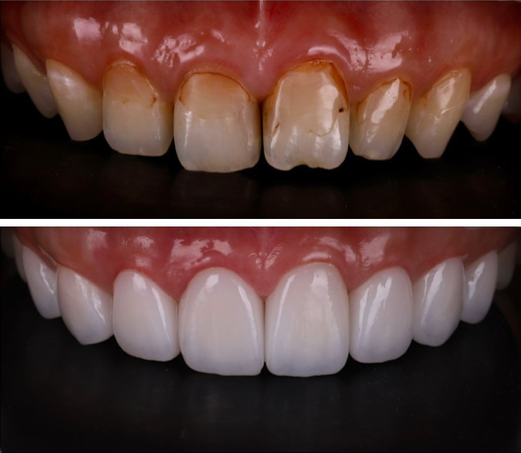
術前術後:微調細節重建自然和諧的笑容
[上圖:Before 術前]
- 樹脂變色: 門牙可見大範圍樹脂填補痕跡,色澤泛黃且不均。
- 結構受損: 牙齒切端磨損不平整,牙縫明顯。
- 牙齦曲線: 牙齦緣高度不一,影響視覺平衡。
[下圖:After 術後]
- 晶透質感: 全瓷材質呈現仿若真牙的通透層次。
- 微創微整: 牙齦線條經過水雷射調整後,呈現對稱的半月型。
- 完美閉合: 牙縫關閉,齒列比例恢復視覺上的黃金平衡。

術後成果:用嶄新笑容迎接人生新篇章
術後的修復體與牙齦組織呈現良好的狀態。笑容曲線不再有斷層,取而代之的是自然、潔白且和諧的視覺效果。Ms. Lee 終於能帶著毫無保留的笑容,自信地在婚禮上迎接親友的祝福與攝影師的鏡頭。
您的笑容,值得更精緻的對待
無論是婚禮、面試或日常,讓我為您量身打造自信亮點
*本療程須經專業醫師評估與規劃,實際成效依個人牙齒狀況而異,請與醫師討論合適方案。本影像內容經當事人正式授權本診所使用。*




