作者
osiris4869
發布日期
2026 Jan 2
微笑的美,不只在於牙齒的白,更在於與唇齒間的空間對話。針對患者牙弓偏窄導致的「頰廊過大」與視覺歪斜,黃醫師透過精密計算貼片的長度與厚度,成功撐起飽滿的微笑曲線,讓原本躲藏在暗處的牙齒,得以嶄露自信光彩。
改變緣起:躲藏在陰影裡的牙齒
患者的牙齒雖然結構完整,但因為先天的骨骼型態與牙弓偏窄,導致笑起來時,牙齒與嘴角之間留下了過寬的黑色空間。這不僅讓笑容看起來不夠開朗,視覺上也會加深骨骼造成的歪斜感。 此外,原本較為凌亂且顏色不均的牙齒「躲」在後方,也會使笑容不夠飽滿。

一日美齒:利用貼片的厚度,撐起自信寬度
黃醫師利用全瓷貼片可客製化長度與厚度的特性,進行了視覺上的牙弓擴張,展現客製化的「加法美學」。
- 頰廊管理: 透過 DSD 數位設計,精準計算每顆牙齒需要增加的長度與厚度。讓貼片向外延伸,填補嘴角過多的黑影空間。
- 視覺導正: 針對骨骼造成的視覺歪斜,利用貼片的軸向設計進行修正,讓視覺重心回歸中線。
- 色調統整: 採用高階全瓷材料,將原本參差不齊的齒色統一為明亮、通透的自然白皙色調。
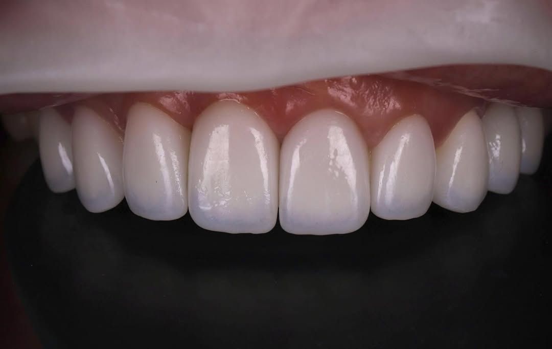
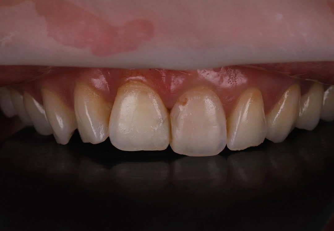
術前術後:飽滿的牙弓讓微笑更具張力
[上圖:Before 術前]
- 牙弓窄縮: 側邊牙齒內縮,導致笑容看起來較窄。
- 視覺歪斜: 因骨骼因素,齒列平面不水準。
- 色澤暗黃: 牙齒缺乏光澤,視覺後退。
[下圖:After 術後]
- 豐盈弧線: 透過貼片加厚,牙弓呈現飽滿的 U 型曲線,原本「躲在後面」的牙齒清晰可見。
- 修正對稱: 視覺上平衡了左右臉型的歪斜感。
- 聚光焦點: 亮白的齒色與飽滿的排列,讓笑容成為臉部最吸睛的亮點。

術後成果:重新嶄露光彩的後排牙齒
患者術後最大的改變在於笑容的「飽滿」。現在當她開心大笑時,潔白整齊的牙齒填滿了原本空洞的嘴角,呈現出如同明星般的飽滿笑容。
覺得笑容不夠飽滿,總少了點什麼?
利用全瓷貼片,為您的微笑注入豐盈的自信能量
*本療程須經專業醫師評估與規劃,實際成效依個人牙齒狀況而異,請與醫師討論合適方案。本影像內容經當事人正式授權本診所使用。*





