作者
osiris4869
發布日期
2026 Jan 5
手術細節說明
原先的樹脂貼片除了變色脫落問題,
也因為坊間工作室一直強調的不修磨牙齒,
導致只能在牙齒外加一層材料,
為了蓋色又必須有一定的厚度,
不但造成清潔死角導致牙齦發炎流血,
更甚者會變成暴牙的結果,
也會連帶影響原先咬合的型態,
嚴重可能會發生顳顎關節的不適!
而且就算不修磨牙齒,
其實還是得在牙齒表面用磷酸做酸蝕的處理,
想單純拆卸恢復自己原生牙齒是不可能的事了😭😭😭
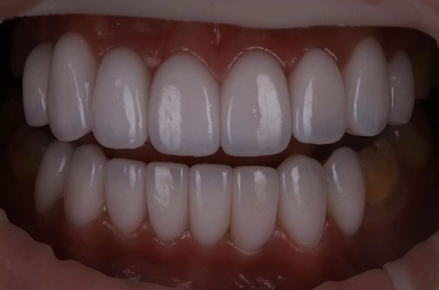
術前/術後比較
左下由於原先牙齒位置脫隊,
不考慮矯正的前提下會犧牲比較多齒質讓牙齒排列整齊,
也都是會事先與患者溝通,
中線也只能將就不對齊上排,
但只要整齊跟白淨就不太會注意到這個問題。
##數位微笑設計 #陶瓷貼片 #職人牙醫
您也希望擁有客製化的笑容曲線?
利用全瓷貼片,打造專屬於您的理想笑顏
*本療程須經專業醫師評估與規劃,實際成效依個人牙齒狀況而異,請與醫師討論合適方案。本影像內容經當事人正式授權本診所使用。*



