作者
osiris4869
發布日期
2026 Jan 2
矯正結束並非完美的終點。針對 Ms. Chen 矯正後出現的齒間「黑三角」困擾,以及根管治療後的重度變色,黃琮勛醫師透過精密的 DSD 比例計算與材質運用,成功關閉空隙並遮蓋暗沈。術後成果自然到連親友都未察覺「牙齒美容」,只覺得她的美更自然了。

改變緣起:美麗笑容不僅止於齒列整齊
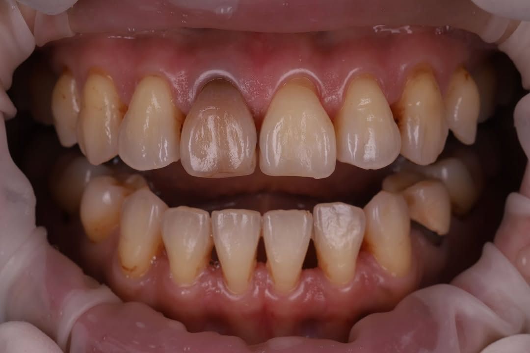
患者在完成牙齒矯正後,雖然齒列已經排整齊,但卻面臨了新的美學難題。由於她天生的牙齒型態較寬(上寬下窄),在排列進入牙弓後,牙齒與牙齒之間出現了明顯的「黑三角 」空隙,視覺上容易產生「牙齦萎縮」或「不潔」的錯覺。
此外,口內還有根管治療後嚴重變黑的牙齒,以及邊緣不密合的舊牙冠。為了在年前給自己一個全新的開始,她下定決心進行上下顎的整體美學升級。

一日美齒:重新定義牙齒的幾何美學
針對「黑三角」與「重度變色」的雙重挑戰,黃醫師的治療計畫側重於比例重分配與光學遮色。
- 消除黑三角: 利用數位微笑設計 (DSD),重新計算每顆牙齒的長寬比例。透過改變貼片的接觸區長度,巧妙地封閉牙縫間的三角形空隙,同時保持牙齒型態的修長優雅。
- 精準遮色工藝: 針對變黑的基牙,選用具有高遮色力但表層透亮的特殊全瓷塊體。既蓋過底層的黑,又不會讓齒色過白導致視覺上像假牙。
- 全口協調性: 同步處理上下顎,確保咬合功能與微笑曲線的統一性。
術前術後:從缺陷到無瑕的細節修復
[上圖:Before 術前]
- 齒間黑三角: 牙齒接觸點較高,導致牙齦處出現明顯黑色空隙。
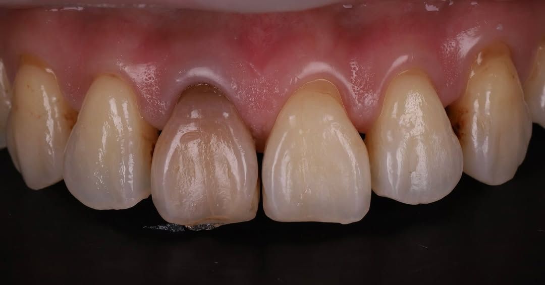
- 嚴重色差: 側門牙因抽神經變為深褐色,與鄰牙色差極大。
- 舊假牙: 邊緣透黑,形態呆板。
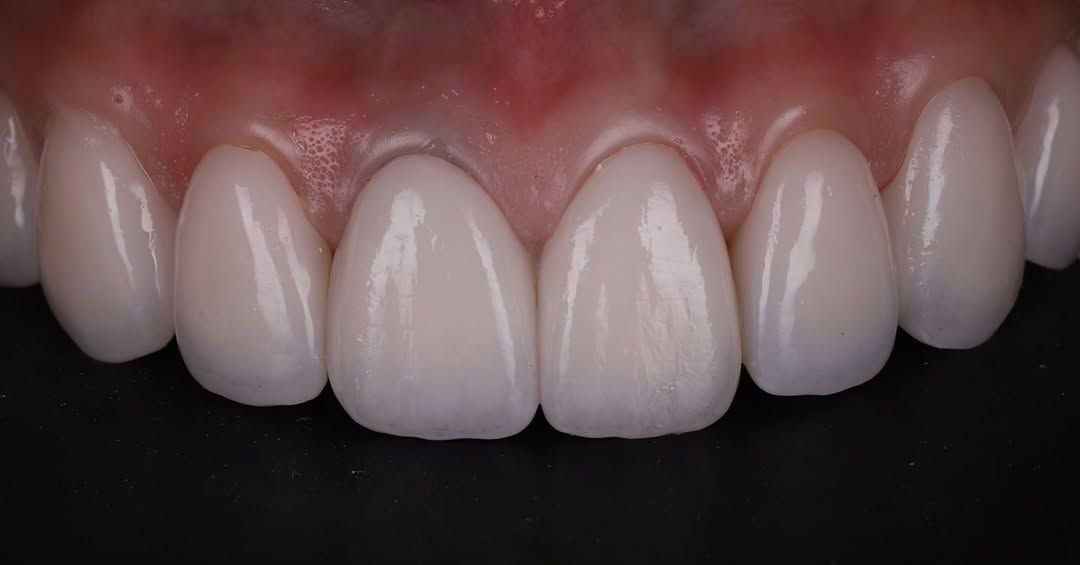
[下圖:After 術後]
- 完美封閉: 透過改變牙齒輪廓,黑三角完全消失,視覺年齡更顯年輕。
- 色澤均勻: 成功遮蓋深色基牙,全口呈現一致的透白光澤。
- 仿生紋理: 貼片表面模擬了真牙的生長紋路與光澤折射。



術後成果:親友都難以察覺的自然改變
術後回診時,Ms. Chen 笑著「抱怨」成果實在太自然,身邊親友竟然第一時間都沒發現她做了哪些改變,只覺得她氣色變好、笑容變燦爛了。
矯正後的最後一哩路,讓我們為您走完
消除黑三角、重塑完美比例,給您彷彿與生俱來的自然笑容
*本療程須經專業醫師評估與規劃,實際成效依個人牙齒狀況而異,請與醫師討論合適方案。本影像內容經當事人正式授權本診所使用。*




